How To Treat An Ankle Fracture
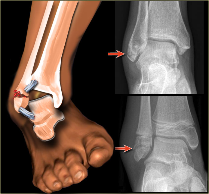
The ankle joint is composed of three bones, which are the tibia, fibula and the talus. Together these bones are joined and they help enable the movement of the leg. There are many different injuries that can occur, but one of the most frequent is a severe twisting injury to the ankle, which can result in a fracture. A major issue with this type of injury is that if it is severe enough, it can result in an open fracture, which can very dangerous if not treated urgently as it can lead to infection, and even sepsis.
Many athletes suffer ankle fractures such as soccer players, football players, track runners, skiers and snowboarders, as well as dancers. Everyday incidents can also result in an ankle fracture such as stepping into a pothole or even tripping when wearing high heels
If you suspect an ankle fracture, the most important thing is to get medical attention. Below are a series of steps that should be followed until medical assistance is obtained.
1. If there is a bone protruding out of the skin, do not attempt to reinsert. Cover with a sterile cloth and seek medical attention.
2. If there is steady bleeding, this needs to be stopped. Apply constant pressure to the wound for 15 minutes. Have another cloth available if the first becomes blood soaked.
3. Elevate the injured extremity until medical assistance is obtained. Remove any jewerly such as an anklet or toe ring because if there is extreme swelling, it will not be possible to remove.
If the patient exhibits profuse bleeding, difficulty breathing or loss of consciousness, contact 911 immediately. Do not ever attempt to life or move the patient as it could cause further displacement of the bones.
Treatment of an ankle largely depends on the type and severity of the fracture. If there is an open fracture, a tetanus shot needs to be given. Following this, a disgnosis of what exact type of fracture needs to be made. This involves examination of the leg clinically and radiographically. Neurological testing will also be performed to determine if there is damage to the nerves and blood vessels. Following this, the course will largely depend on the extent of the ankle fracture and whether it is an open fracture. Patients usually need operative fixation or repair of ankle fractures. Subsequently, expect six to eight weeks in immobilization with a cast, and expect to be nonweightbearing on crutches. Following this, physical therapy is quite useful in regaining complete function of the afflicted ankle. Physical therapy is effective in helping patients regain full mobility and range of motion.
Keep in mind that though treatment for ankle fractures may seem extreme, and it may also seem like you will never recover, time will heal all and you will be back to your old self soon enough! Be sure to proceed with caution after an ankle fracrure and take the extra precautions to ensure it does not occur again such as using an ankle support.






